• 首页
  • 新闻
今日热点 :
    • 推荐
    • 社会
    • 军事
    • 娱乐
    • 财经
    • 历史
    • 国内
    • 国际
    • 笑话
    • 汽车

    胰腺炎

    搜索与 胰腺炎 相关的新闻
    • 这就是天天喝酒的下场!请听一位医生的忠告

      胰腺炎 脂肪肝 身体 2025/02/08

    • 阆中网红蒲胖胖去世!仅39岁 确诊癌症不到1月 细节曝光太可惜

      蒲胖胖 胰腺炎 淋巴瘤 2025/05/05

    • 山东男子出院前突然身亡,遗体被院方擅自火化,医院回应:烧错了

      丈夫 赵姐 胰腺炎 2025/10/07

    • 正大量上市!一顿吃七只,男子被送进ICU,紧急提醒→

      螃蟹 胰腺炎 小谢 2024/10/01

    • 一口气吃4只螃蟹,25岁女子连夜抢救!医生提醒!

      螃蟹 胰腺炎 秋膘 2024/11/04

    • 一口气连吃七只螃蟹,小伙把自己“炫”进了ICU

      螃蟹 胰腺炎 副溶血性弧菌 2024/09/30

    • 一周超过10次!49岁女子确诊胰腺癌,家人崩溃:劝了多次都不听!

      胰腺癌 风险 胰腺炎 2025/09/28

    • “贴秋膘”不等于“放任吃”!连日来,这类急症多发……

      胰腺炎 胰液 医院 2024/11/25

    • 花生再次被关注! 研究发现:胰腺炎常吃花生,不过1年或有8改变

      花生 胰腺炎 脂肪 2025/12/05

    • 37岁女子常年重油重盐,抽出猪油血 !

      王女士 乳糜血 胰腺炎 2024/09/23

    • 男子患胰腺炎体重暴瘦近百斤 医生提醒

      胰腺炎 小赵 手术 2024/12/24

    • 阿姨吃路边捡的玉米致胃扭转270度

      扭转 胰腺炎 阿姨 2025/12/19

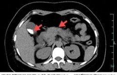
    • 上腹疼痛,剧烈呕吐!春节后这种疾病突然高发

      胰腺炎 症状 图源 2025/02/06

    数据加载中...
    今日热点
    更多
    • 古语“一日夫妻百日恩”人尽皆知,下半句才是经典,知道的人很少

    • 韩国队2-1绝杀澳大利亚!韩媒:东亚球队在西亚刮起“东风”

    • 暴雪+冻雨!直击河南风雪一线:积雪18厘米,高速管制、高铁限速

    • “娶妻不娶颧骨高,嫁汉不嫁连眉梢”,老祖宗这句古话有道理吗?

    • 开心一刻:提前下班想给媳妇个惊喜,敲门说查电表,谁知她…

    • 为什么在纣王之后,再也没有“人皇”,帝王只能称为“天子”?

    • 关羽身高九尺,放到如今有多高?出土的一把汉尺给出答案

    推荐阅读
    更多
    1. 中日联合国激战,中方重提东京审判,高市开始梭哈,输了就下台
    2. 特朗普虚晃一枪,三大因素决定美国对伊朗动武,中方收到求援信号
    3. 中方刚缴清会费,特朗普另起炉灶,60国收到邀请,以色列叫板美国
    4. 古巴全民学习投掷手榴弹,古特雷斯打破沉默:美国已经肆无忌惮
    5. 局势反转,ICE再次开火,民众持枪反抗,特朗普欲部署空降师镇压
    6. 一觉醒来,尹锡悦判刑5年,李在明政治清算遇挫?韩国政坛再陷撕裂危机
    • 刷新
    • 热点
    • 顶部
    联系我们
    © 中华网    京ICP备18035944号-2