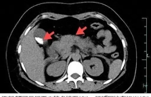
吃货们,你们可得悠着点儿!杭州这位姑娘因为一口气吃了四只大螃蟹,结果急性胰腺炎找上门,差点儿把小命搭进去。螃蟹虽好,可不要贪杯哦!
医生说,螃蟹蛋白质和胆固醇含量高,一般人吃两只就差不多啦。别仗着自己年轻身体好,就胡吃海塞,到时候进了医院,哭的还是你自己。
秋季进补,咱们得科学点儿!别光想着贴秋膘,吃一堆高脂食物,结果把自己吃成了急性胰腺炎患者。健康饮食,才是王道!吃货们,记得要管住嘴,迈开腿哦!

吃货们,你们可得悠着点儿!杭州这位姑娘因为一口气吃了四只大螃蟹,结果急性胰腺炎找上门,差点儿把小命搭进去。螃蟹虽好,可不要贪杯哦!
医生说,螃蟹蛋白质和胆固醇含量高,一般人吃两只就差不多啦。别仗着自己年轻身体好,就胡吃海塞,到时候进了医院,哭的还是你自己。
秋季进补,咱们得科学点儿!别光想着贴秋膘,吃一堆高脂食物,结果把自己吃成了急性胰腺炎患者。健康饮食,才是王道!吃货们,记得要管住嘴,迈开腿哦!
