枕头 萌娃 脑袋 2026/02/02
枕头 睡眠 小时 2026/01/30
枕头 博主 酒店 2025/12/20
枕头 颈椎病 神经根 2025/01/07
大米 枕头 纯棉布 2025/01/19
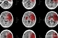
枕头 脑梗 血管 2026/02/05
插排 枕头 纸箱 2026/01/09
陈大妈 心脑血管 枕头 2025/11/21
争夺战 枕头 床位 2025/06/07
枕头 螨虫 油脂 2025/04/27
周女士 枕头 民警 2025/08/17
空调 疾病 枕头 2024/12/31
枕头 浴缸 污粉 2024/08/06
枕头 放置 促使 2025/11/03
枕芯 枕头 床垫 2024/12/30
婆婆 枕头 行李箱 2025/01/09
橘子皮 枕头 橘皮 2026/02/03
枕头 爸爸 孩子 2026/02/24
枕头 手机 切记 2024/07/23
枕头 香囊 压在枕头下 2025/04/21
建议基础教育学制从“633”缩短为“532 ”,即小学5年、初中3年、高中2年
国台办:台当局无底线跪美卖台 结果是花血本买了张“废票”
大清灭亡后,李莲英的表姐才敢说出真相:慈禧其实不是病死的
昆仑山为何常年派重兵把守?1983年发生过一件奇事,至今无人敢忘
雍正临终前杀死一人,使乾隆稳坐江山60年,自己却背上了千古骂名
刘备不愧是一代枭雄,一生不重用赵云,临终才告诉赵云原因
95后姑娘辞掉高薪工作参警成刑警探长,带着一帮男警破案200多起