洗澡 热水器 细菌 2024/11/25
水塔 老人 细菌 2025/04/27
细菌 小林 三角区 2026/01/13
肉类 保存 细菌 2025/02/25
空腹 细菌 肾脏 2024/11/15
脚气 真菌 细菌 2025/01/05
抗生素 感染 细菌 2026/01/20
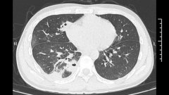
细菌 克雷伯菌 肺炎 2024/08/09
吃早餐 肠道 细菌 2024/09/19
内裤 细菌 纯棉 2025/03/30
高毒力 细菌 感染 2024/08/09
细菌 手机 马桶 2025/04/24
细菌 纸巾 痔疮 2026/01/20
左氧氟沙星 细菌 类人群 2025/10/13
卫生间 毛巾 细菌 2024/12/25
菠萝 水果 细菌 2025/05/10
洗洁精 细菌 抹布 2024/11/28
林阿姨 布鲁氏菌 细菌 2024/11/05
空腹 细菌 危害 2024/10/02
脚丫 细菌 吴悦菡 2025/04/23
昆仑山为何常年派重兵把守?1983年发生过一件奇事,至今无人敢忘
雍正临终前杀死一人,使乾隆稳坐江山60年,自己却背上了千古骂名
刘备不愧是一代枭雄,一生不重用赵云,临终才告诉赵云原因
蒋介石的年薪换算成人民币,相当于多少钱?背后实情令人瞠目结舌
努尔哈赤的一生挚爱,却被皇太极恨之入骨,她到底做了什么竟成了清史上唯一被生殉的皇后
被遗忘的中华故土,至今宣称:无条件支持中国,只承认中国统治!
如果你是这四个姓氏之一,你可能不是炎黄子孙,而是战神蚩尤的后代