宁波有位20岁的大学生小林,就因为随手挤了一颗痘,结果差点把自己送走!他的肺,竟然被细菌"啃"出了十几个洞!
事情是这样的,小林因为熬夜备考,脸上长了颗大痘痘。年轻小伙嘛,也没多想,没洗手上去就是一顿挤。
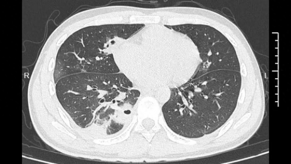
本以为挤完就完事了,结果没几天,高烧39度,胸口疼得像针扎一样。去医院一查,好家伙,医生都吓了一跳:小林的肺部CT图上,密密麻麻全是空洞,肺组织都坏死了! 医生确诊这是"血源性肺脓肿"。

小林的肺部CT影像显示多个空洞
罪魁祸首是谁?就是那颗被挤破的痘痘里的"金黄色葡萄球菌"。这细菌顺着伤口溜进血液,一路狂飙到肺里,开始疯狂破坏。
很多人可能会问:挤个痘痘,至于吗? 至于!太至于了!
尤其是脸部那个著名的"危险三角区"--从鼻根到两个嘴角连成的这块地儿。 这里的血管那是相当特殊,它没有"静脉瓣",也就是没有"单向阀门"。

你这一挤,很可能没把脓挤出来,反倒把细菌直接"倒推"进了血管里。 这些细菌一旦上了高速公路(血液循环),往上能冲进脑子引发脑膜炎,往下能杀进肺里、肝里,就像小林这样,引发败血症和肺脓肿。这可真不是开玩笑,搞不好是会要命的!

所以,各位"挤痘达人"们,听医生一句劝:手下留情!
特别是三角区那种又红又肿的大痘痘,千万别碰!让它自己消,或者去医院找专业医生处理。
如果挤完痘痘,发现脸肿了、头发晕、胸口疼,别犹豫,赶紧去医院。 为了那一时的手感,搭上自己的肺甚至小命,这买卖,真不划算!管住手,就是保命啊!










