流感 甲流 病毒 2025/01/13
流感 病毒 感染 2025/11/20
流感 科主任 接种 2025/11/07
流感 玛巴洛沙韦 抗病毒药物 2025/01/14
流感 病毒 甲流 2025/01/09
流感 疫情 国家 2025/10/17
流感 老人 血氧 2025/02/14
流感 诊所 甲流 2025/02/06
流感 甲流 重症感染 2025/11/19
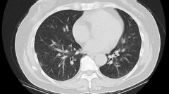
流感 肺炎 医疗机构 2025/02/09
流感 宁宴 陈建州 2025/02/05
流感 症状 病毒 2025/12/02
流感 药物 特效药 2025/11/28
甲流 病毒 流感 2025/12/03
疫情 病毒 流感 2025/11/17
甲流 流感 病毒 2025/01/30
流感 公众 肺炎 2025/02/05
流感 病毒 感染 2025/11/17
甲流 病毒 流感 2025/01/09
流感 病毒 重症 2025/11/24
我国唯一富过17代的家族,坐拥上海近一千栋房屋,子孙大都上哈佛
蒋介石的年薪换算成人民币,相当于多少钱?背后实情令人瞠目结舌
努尔哈赤的一生挚爱,却被皇太极恨之入骨,她到底做了什么竟成了清史上唯一被生殉的皇后
父子三人娶同一个女人,本以为是个笑话,没想到却是真实的历史
林冲买刀花一千贯,武松打虎知县赏一千贯,一千贯是现在多少元?
乾隆告诫儿子不要杀和珅,嘉庆却不听,15年后才明白乾隆的苦心
日本人为什么要毒死李士群?读懂背后的深层次原因,需要国际视野