一勺猪油下锅,菜香四溢,童年的记忆扑面而来。 猪油,作为中国传统烹饪中的经典食材,曾是家家户户菜肴中不可缺少的调味品。然而,随着健康养生观念的普及,以及"高脂肪饮食导致疾病风险"的认知深入,猪油逐渐被视为"不健康饮食"的代名词,退出了许多家庭的厨房。
然而,近些年来,一种相反的声音却悄然兴起:猪油真的有那么"不健康"吗?有人认为,猪油既天然又美味,不含人工成分,在合适量使用时甚至比一些精炼植物油更健康。而另一部分人则坚决反对,认为猪油是"血管杀手",吃得越香,血管可能越堵,从而引发心血管疾病。

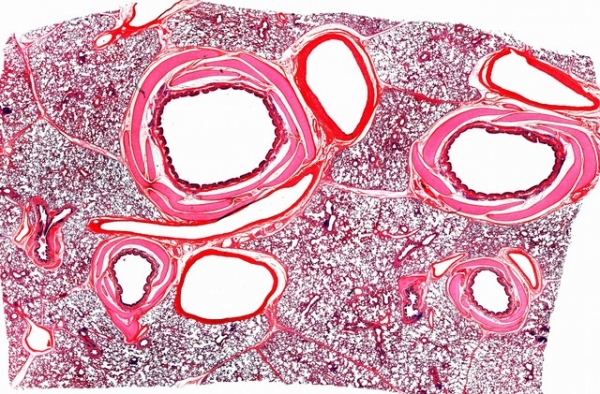
最近,复旦大学的研究团队针对这一争议进行了一项详细的科学研究,结果发现:猪油的确与动脉粥样硬化、心血管疾病之间存在关联,过多食用猪油可能增加这些疾病的发生风险。
猪油的营养构成与高脂饮食隐患
在讨论猪油是否"吃得越香,血管越堵"之前,有必要了解它的营养构成和代谢特征。猪油的主要成分是脂肪,其中饱和脂肪酸约占40%,单不饱和脂肪酸占45%,多不饱和脂肪酸仅占10%左右。
这种结构决定了猪油具有稳定的特性,不易氧化,耐高温,是制作各种重油料理、酥皮点心的理想选择。

然而,猪油中高比例的饱和脂肪酸正是引发争议的焦点。饱和脂肪酸在人体内代谢后,会增加血液中的低密度脂蛋白胆固醇(俗称"坏胆固醇")。当"坏胆固醇"过多时,容易沉积在血管壁上,形成动脉硬化斑块。
这些斑块逐渐增厚,会导致血管狭窄、弹性降低,不仅增加心梗、脑梗、中风等心脑血管疾病风险,还可能引发供血不足、组织缺氧等复杂的健康问题。
复旦大学的研究进一步发现,在长期高饱和脂肪酸饮食的试验动物及人群中,低密度脂蛋白的水平显著升高,而血管的炎症标志物也有明显增加。

这表明,经常或过量摄入猪油,可能对血管健康造成更大负担。 同时,这种不良反应还与日常饮食中纤维摄入不足的情况相关。现代饮食习惯过于精细化,加工食品的摄入量增加,进一步加重了高脂饮食带来的负面效应。
饱和脂肪的健康争议:是"元凶"还是"被妖魔化"?
尽管饱和脂肪酸与健康问题之间的关联被提出已有数十年,但对于它的"罪与罚",学术界却始终存在争议。一方面,确实有较多研究表明,饮食中过多饱和脂肪酸摄入会增加低密度脂蛋白水平,这可能成为动脉粥样硬化的诱发因素;但另一方面,也有一些研究认为,饱和脂肪酸在特定的膳食结构中并不会直接导致心血管疾病。

这种分歧的出现,与饱和脂肪酸的摄入量、来源和个体差异有密切关系。猪油作为动物脂肪的一种,在传统家庭中被广泛用于煎炒烹炸,但很多人容易忽视用量控制和饮食平衡问题。现代人偏爱以猪油制作重油食品,或长期将其作为主要烹饪用油,这种饮食习惯导致饱和脂肪酸摄入量远高于推荐水平,而膳食纤维、维生素、多不饱和脂肪酸的比例却明显不足。

复旦大学的实验模拟了不同人群的饮食特征后发现,当高饱和脂肪酸搭配低纤维饮食时,血管炎症和动脉粥样硬化的风险会显著增加。 相反,若日常饮食中富含蔬菜、水果和天然植物油(如橄榄油、亚麻籽油等),即便适量摄入饱和脂肪酸类食材也并未显著影响血脂水平和血管弹性。这表明,饱和脂肪酸本身并非"天生有毒",关键在于"量"和"平衡"。
有趣的是,国外的一些健康膳食文化,如地中海饮食,虽然也存在一定比例的饱和脂肪酸,但由于总膳食结构是高纤维、低热量的平衡状态,整体对心血管健康有益。这启示我们,单凭某一种食材或成分来判断饮食健康与否并不科学,还需结合整体膳食模式综合考虑。

猪油与血管健康的真相
究竟猪油会不会"吃得越香,血管越堵"?从现代科学的角度来看,答案并非绝对的"是"或"否"。猪油对健康可能存在潜在影响,具体取决于日常整体膳食结构、运动量以及个体代谢能力。
对某些特殊人群,如高胆固醇血症、动脉硬化病史、胰岛素抵抗状态的人群,猪油所含饱和脂肪酸可能进一步加重血脂代谢负担,成为动脉粥样硬化的重要风险因素。
但与此同时,猪油中所含的单不饱和脂肪酸比例较高,约占45%左右, 这种成分在一定范围内有助于维持细胞膜的完整性和血脂平衡。因此,对于饮食均衡、膳食多样的健康个体来说,偶尔摄入适量猪油,并不会明显增加血管堵塞风险。

更重要的是,复旦大学研究团队提出,猪油是否影响血管健康,与烹饪方式关系密切。高温油炸的食品往往会催生更多自由基和反式脂肪酸, 这些物质对人体的炎症反应和血管损伤风险是远高于猪油本身的。换句话说,某些不科学的烹饪方式,可能比猪油本身更值得警惕。
针对这一结果,学者们还指出,改善健康饮食并不意味着完全拒绝猪油,而是要更有意识地控制使用频率与摄入量。例如,将猪油作为调味点缀,而非炒菜的主要油脂;在以猪油为食材的菜式中,搭配高纤维、高维生素的蔬果,为血脂代谢创造良好的内环境。

健康饮食的关键:平衡与选择
在现代讲究"回归本味"的饮食潮流中,重新讨论猪油是否健康,这与现代人对健康饮食认知水平的提升不无关系。 从科学的视角来看,平衡、多样化的饮食模式才是健康的核心。猪油只是众多食材中的一种,无需将它过度"妖魔化",也不宜放任它无节制地出现在日常饮食里。
复旦大学的研究表明,高饱和脂肪酸和低纤维饮食的长期结合,是诱发心血管疾病的重要风险因素,而反过来,增加膳食纤维和优质植物油的比例,可以有效减轻饱和脂肪酸对血管健康的潜在影响。这为猪油饮食提供了明确的使用原则:不禁绝,但需合理;不强调单一食材,但注重整体膳食模式。

具体来说,每日猪油总摄入量宜严格控制在10克以下,占总能量的比例低于10%。同时搭配高纤维主食、低温烹饪技巧,以及丰富的水果和绿叶蔬菜,来平衡高脂饮食的代谢负担。结合适量运动和体重管理,更是减轻猪油健康隐患的强有力手段。
猪油,作为传统饮食的一部分,既承载了人们的味觉记忆,也带来了健康的争议。基于复旦大学最新研究发现以及其他相关研究,猪油与血管健康之间的关系并不简单,它的摄入意义需要放到整体膳食结构中去考量。关键在于对量的控制和膳食的平衡。

科学饮食并非排斥传统,也不是盲目追求某种成分的流行标签,而是在多样性基础上找到真正适合自己的饮食方式。与其问猪油是否健康,不如问你是否用科学的方式看待和管理饮食。






