胆囊 血糖 节律 2026/01/22
胆囊 小丽 胆汁 2024/09/24
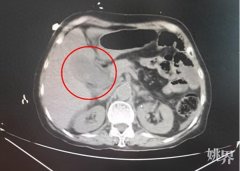
赵医生 结石 胆囊 2025/12/13
胆囊 胆石病 王阿姨 2026/01/30
曲荣香 异物 胆囊 2025/04/09
胆囊 口苦 胆汁 2026/01/09
花生 胆囊 人体 2024/11/07
血糖 胆囊 饮食 2026/02/24
胆囊 胆结石 金水泉主任 2025/01/25
花生 胆囊 胆固醇 2025/09/22
胆囊 女士 饮食 2025/04/11
结石 胆囊 王娭毑 2024/12/07
胆囊 胆结石 胆汁 2024/09/22
胆囊 结石 石头 2025/05/23
早餐 进食 胆囊 2025/03/14
李女士 减肥法 胆囊 2026/05/06
胆结石 胆囊 早饭 2025/03/03
胆囊 胆汁 结石 2026/03/31
两顿饭 糖尿病 胆囊 2026/02/24
早餐 进食 胆囊 2025/02/25
山东一广场三只狗雕塑被质疑低俗 社区回应:展览结束后可能会搬走
离谱!河南男子70元住酒店,空调竟挂女士内裤,酒店回应更气人
广西自治区领导赶赴皮卡车坠河现场指挥救援处置工作
A股行情主线正在悄悄换血吗?AI+消费已成主线,下半年投资机会说透了
陕西一男子发现妻子行为异常,经鉴定3个女儿都非亲生,崩溃发声:感觉人生都被毁了!
和平不是口号!国防部发言人蒋斌:中国军队忠实履行维和使命
格列兹曼含泪告别马竞:当时太年轻犯了一个错误,但我回来了