真是应了那句"无酒不成席",可这酒喝多了,真能闹出让人哭笑不得的惊魂事。36岁的陈先生,一个月前跟朋友推杯换盏,喝得酩酊大醉,整个人断片儿没了意识。稀里糊涂之中,他竟然把一个打火机当成了美味佳肴,硬生生吞进了肚子里。醒来后,他对这档子荒唐事忘得一干二净,只觉得胃里隐隐作痛,还有点反酸。他心想,这肯定是老毛病"胃病"犯了,或者是宿醉闹的,随便吃点护胃药顶一顶也就过去了。药吃下去,痛感确实轻了不少,他便把这事抛在脑后。

俗话说"讳疾忌医,后患无穷"。这一个月来,胃里的疼时断时续,偶尔还恶心想吐,陈先生总是抱着"挺一挺就好"的念头,压根没想着去医院瞧瞧。拖到1月18日,身体终于拉响了警报,上腹部突然绞痛起来,疼得一阵紧似一阵,坐也不是,躺也不是,恶心得要把苦胆都吐出来。实在扛不住了,他才火急火燎地赶往长江航运总医院·武汉脑科医院。
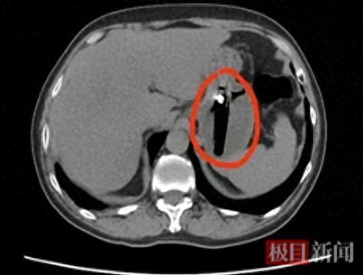
一拍急诊胸腹部CT,真相大白:胃里赫然躺着一个长约8厘米的异物!普外科二病区的接诊医生郭敦伟拿着片子,反复追问陈先生最近的饮酒经历,这才推断出罪魁祸首就是那个被误吞的打火机。医生解释,人喝醉了,咽喉神经反应迟钝,食管肌肉松弛,异物很容易"长驱直入"滑进胃里。这打火机个头太大,过不了幽门排不出去,就在胃里跟着蠕动瞎折腾,把胃壁磨得不轻。更要命的是,胃酸像水滴石穿一样持续腐蚀,打火机外壳一旦破损,里面的易燃气体漏出来会中毒,甚至可能穿透胃壁造成穿孔、腹膜炎,到时候可是要命的。
这东西得赶紧取出来,可难度不小。打火机体积大、形状怪,硬取容易伤着胃和食管,再加上里面还有易燃气体,稍有不慎就是个"爆炸"的隐患。在科室主任曾翔的指导下,郭敦伟医生在全麻下使了个巧招,用医用防护手套成功把打火机完整地包裹取了出来,既没引爆,也没伤着胃壁。手术一做完,陈先生的腹痛立马缓解,只需控制饮食、观察48小时就能出院。

这件事也给大伙儿提了个醒:吃饭得专心,别嬉皮笑脸打闹。万一误吞了东西,千万别自作聪明用手抠或者吞饭团、喝醋,那叫"火上浇油"。特别是胃里进了长度超过6厘米的硬家伙,通常自己排不出去,要是反复肚子疼、反酸,或者突然剧痛、呕吐,赶紧上医院,别拿命开玩笑。










