冬季往往是各类传感染疾病的高发期,身边已有朋友因感染不得不开启口罩模式。而最近又有一种"唯恐天下不乱"的自媒体口中的"新病毒" 快速出圈,引发大家广泛担忧。
据报道,近期人偏肺病毒(hMPV)感染阳性率上升,导致不少医院人头攒动。这是一种什么样的病毒?需要担心吗?这篇文章带你认识它:

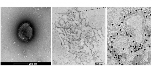
△ hMPV在电镜下的形态(来源:中国疾控中心)
01
hMPV是"新病毒"吗?
顾名思义,hMPV对肺部组织有一定嗜性,主要侵袭呼吸道。它可不是什么"新病毒",而是人类的老对手了。它最早在2001年被荷兰科学家发现,被认为已经在人类中存在60多年。对于病毒基因组的进一步研究显示,hMPV可能是由感染鸟类的禽偏肺病毒(aMPV)演化而来。

△ 人偏肺病毒(hMPV)病毒粒子示意图(来源:网络)
hMPV属于肺炎病毒科偏肺病毒属,有四个亚型A1、A2、B1、B2,它们的传播力和毒力没有明显差别。
hMPV的结构比较特殊,是一种有包膜的单股负链RNA病毒,通俗来说它的RNA不能直接作为mRNA来翻译蛋白质,而是需要借助RNA聚合酶,合成互补的正链RNA,再去合成蛋白质。它还会从宿主细胞"出芽"释放的过程中获得一层膜,进而更好地入侵其他细胞。
02
hMPV是如何传播的?
hMPV和大多数病毒的传播方式相似,主要通过飞沫传播和接触咳嗽、打喷嚏的分泌物传播。常见症状和流感相近,主要是上呼吸道感染,如发热、咳嗽、鼻塞、流涕、声音嘶哑等,但通常没有流感严重,往往一周左右就能缓解,引起重症的可能性也比较小。
一般而言HPMV的潜伏期为3-9天,大多为3-6天,值得注意的是其从潜伏期到飞沫期都具有传染性。
03
hMPV的传播情况
在中国疾控中心发布的最新急性呼吸道传染病哨点监测情况能看到,hMPV的核酸检测阳性率在近期有一个跃升,相比前一周有8%的左右涨幅,这是近期引起广泛关注的重要原因,但需要注意的是,这一数值仍低于去年同期。

△ 哨点医院门急诊流感样病例呼吸道样本病原体核酸检测阳性率每周变化趋势(来源:中国疾控中心)
从人群来看,hMPV喜欢挑老人、小孩和免疫功能低下的人下手,近期感染的主要也是这部分。《柳叶刀全球健康》的一篇文章估计,2018年全球约有1420万例5岁以下儿童因为hMPV引发下呼吸道感染,有超过60万人住院、1.6万人死亡。

△ 第51周呼吸道样本主要病原体核酸检测阳性率年龄组差异(来源:中国疾控中心)
分区域来看,近期北方省份人偏肺病毒感染和重症情况相对严峻。有观点认为,广州、香港等地的hMPV大面积感染时间比北方更滞后,数据或与之有关。

△ 第51周呼吸道样本主要病原体核酸检测阳性率区域差异(来源:中国疾控中心)
hMPV感染在全年都可能发生,高峰期通常在秋冬季,眼下正是其偏好的时节。hMPV的影响也遍布全球,是各类新闻报道里的常客,2023年春季就在美国肆虐,导致医院爆满。有观点认为,这或许和新冠疫情期间的封锁有关,彼时人们缺乏社交活动和自然接触病原体的机会,免疫系统没那么"抗揍"。
04
需要担心么?
目前hMPV还没有特效药和疫苗,但耐心看完前文的小伙伴估计心里也有数了,现阶段hMPV并不足以让人担心,类似这样"广撒网"的病毒毒性一般不会太高,如果太高,宿主感染后就没了,反而限制了它的传播。
国家卫健委发布的《人偏肺病毒感染诊疗方案(2023年版)》也把hMPV感染视为一种"轻度自限性疾病"。这类疾病尹哥也多次科普过,是只靠自身免疫就可痊愈的,并不需要特殊治疗,顶多针对症状进行缓解。
总的来说,hMPV并没有那么可怕,作为一种走呼吸道的病毒,它的传播方式还是比较单一的,不至于防不胜防。从目前官方公布的法定传染病目录来看,hMPV也是"榜上无名",影响相对有限。
而从前文中国疾控中心发布的数据来看,近期流感的阳性率更高,影响力也更大,外媒报道美国的百日咳病例达近十年最高水平,这些远比起hMPV更值得关注。此外不少呼吸道病毒近期都出来作祟,hMPV叠加其他病原体的感染也应引起重视。
对此,我们还是可以通过勤洗手、戴口罩、少聚集来降低hMPV的感染风险,也应通过均衡营养、适量运动、充足休息来做好预防。










