在新冠之前,很多人甚至都不知道结节是什么病,但现在却非常的高发,平均每3个人就有一个结节患者。今天我就一次性讲清楚,包括结节的生成原因和应对方法。

我们中医上认为,肺为娇脏,不耐寒热,并且主气司呼吸。感染新冠后,病毒进入体内,首先损伤的就是肺部,就会导致肺气失宣,所以就会出现咳嗽、发热、乏力等等,同时水湿无法代谢出去,津液无法正常输布,聚而成痰,逐渐在肺部形成了结节。
并且因为病毒在肺部长期停留,一方面会扰乱肺的气血经液运行,逐渐积累痰盂,另一方面会降低我们身体的免疫力,也很难阻止结节的形成和进展了。
尤其是很多中老年人有支气管炎、慢阻肺、支气管哮喘等基础病,更容易出现这些问题,但这类的结节大多都是炎性的,所以我们在中医的辨症指导下,可以使用一些清热化痰、软坚散结的中药或者进行抗炎处理。
给大家分享一个真实病例
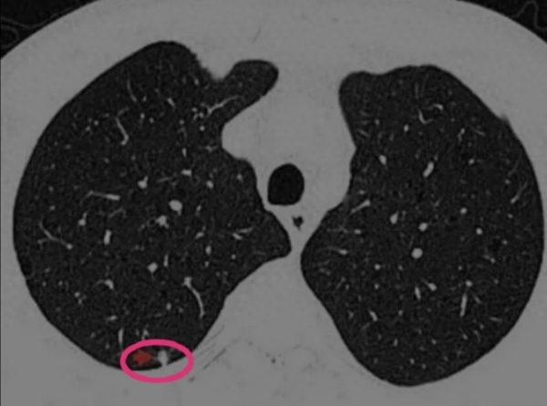
62 岁的王先生,感染新冠康复后一直咳嗽不断,总感觉胸口发闷,稍微活动就气短,还时不时咳出白黏痰。去医院检查发现双肺多发结节,最大的直径达 8mm,报告提示为炎性结节。
来诊时,我见他面色萎黄,舌质淡胖、边有齿痕,舌苔白腻,脉象濡弱
辨证:肺脾气虚、痰湿蕴肺。
针对他的情况,我开具了以六君子汤和三子养亲汤为基础的药方。方中党参、白术、茯苓、甘草(健脾益气);陈皮、半夏(燥湿化痰);苏子、白芥子、莱菔子(降气化痰、消食导滞)。

并叮嘱他饮食要清淡,多吃山药、薏米等健脾食物,避免生冷油腻。
坚持治疗两个月后,王先生咳嗽、胸闷症状明显减轻,咳痰量也少了很多。三个月复查 CT,惊喜地发现最大的结节缩小到 4mm,其他小结节也有不同程度减小。后续通过调整药方巩固治疗,半年后再复查,结节基本消失。
所以,新冠后查出肺结节别慌,及时就医,通过中医辨证论治,配合生活方式调整,大部分结节都能得到有效控制。










