"医生,我是不是得癌了?"
这是每年体检季,内科门诊里最常听到的一句话。
有人刚拿到体检报告,就开始彻夜难眠:甲状腺结节、肺结节、乳腺增生、肝囊肿、肾囊肿……密密麻麻的字眼仿佛都在宣告"你出问题了"。

但事实上,这些"异常"大多数时候只是身体发出的"假警报"。
今天我们就来聊聊体检中最常见的5类"被误解"的疾病,告诉你:有些病,真的不用急着治。
1. 甲状腺结节:十人九结,良性居多
"甲状腺结节",是体检报告里的常客。
很多人一看到"结节"两个字,脑中就自动联想"癌"。但事实是,超过90%的甲状腺结节都是良性的,不会恶变。
根据《中华内分泌代谢杂志》数据,我国成年人甲状腺结节的检出率接近40%,女性比男性更常见。这意味着,走在大街上,每两三个人里就有一个携带结节。

甲状腺结节多数是由滤泡上皮增生引起的,可能和碘摄入、遗传、激素水平有关。绝大部分不痛不痒、不影响激素分泌,也不会变成癌。
医生通常会用TIRADS分级法来判断结节的风险,1-3级一般为良性,只要定期复查就好,无需手术或用药。
真正需要警惕的是那些边界不清、钙化、血流丰富的结节,或短时间内迅速增大者。
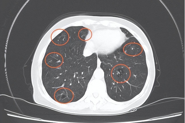
2. 肺结节:不是所有"磨玻璃"都要处理
很多人在体检中查出"磨玻璃影",吓得不轻。
但其实,肺结节≠肺癌。

磨玻璃结节是一种在低剂量CT中高频出现的影像表现,形态像一团薄雾,大多数是良性的,有些甚至是炎症后的残留改变。
《中国肺结节管理专家共识》指出:直径<6mm的肺结节,尤其是孤立的单个结节,恶变率极低,建议观察即可,无需穿刺、手术或药物干预。
只有当结节直径>8mm,或者短期内明显增大,才需要进一步检查包括PET-CT、穿刺等。
切记:过度治疗肺结节,不仅不会更安心,反而可能带来不必要的风险。
3. 乳腺增生:不是病,不用治
"乳腺增生"几乎成了女性体检报告的"标配"。

但这其实是个被"标签化"的概念。
乳腺组织本身就会随着雌激素波动而发生周期性变化,所谓"增生"更像一种生理现象,而非真正的疾病。
《国家乳腺疾病早筛指南》明确指出:轻中度乳腺增生无需治疗,也不会直接发展为乳腺癌。只有当出现明显结节、质地硬、边界不清时,才需进一步检查。
乳腺增生不需要吃药调理,更不需要"消炎"治疗。如果没有明显疼痛或肿块,只需保持良好作息、规律运动、定期筛查即可。
4. 肝囊肿:像水泡一样的"无害之物"
很多人在B超中查出"肝囊肿",第一反应是:"肝是不是长瘤了?"

其实,肝囊肿本质上就是肝脏表皮或腺体中的"水泡",95%以上都是良性的。
肝囊肿直径小于5cm没有症状,通常不需要任何治疗。它不会影响肝功能,也不会发展成肝癌。
只有当囊肿特别大,压迫到胆管或其他器官,或发生感染、破裂等并发症时,医生才会考虑引流或手术处理。
日常生活中,肝囊肿人群无需忌口、无需吃药,也不影响饮酒与锻炼。
5. 肾囊肿:随年龄增长的"赠品"
和肝囊肿一样,肾囊肿也是一种常见的良性结构改变,尤其在中老年人中普遍存在。

《中国肾病流行病学调查》显示,60岁以上人群中约有30%会出现肾囊肿,而大多数人终其一生都不会因其出现任何症状。
肾囊肿通常位于肾皮质下方,B超表现为边界清晰、无分隔、无血流的单纯性囊肿,只需每年复查一次即可。
需要警惕的是:多房性囊肿、囊壁不规则、有钙化或实性成分者,可能是"复杂性囊肿",这类囊肿需要进一步评估。
"不治",并不等于"忽视"
如果把体检报告比作汽车的年检单,那么这些"结节""囊肿"就像是车漆上的小划痕,不影响驾驶,但要定期观察。

很多病看起来可怕,但真正的关键在于分级管理,而不是一刀切地"消灭"。
体检的意义不是"发现一个就治一个",而是找出真正有风险的异常,早干预、早受益。
如何判断体检异常是否需要干预?
你可以参考以下三点:
- 医生建议优先于报告解读:报告上的"建议复查"只是系统默认,并不代表你就有病。请以专业医生的判断为准。
- 查阅国家级指南:如《中国肺结节管理共识》《甲状腺结节超声分级指南》等,都是临床医生判断的依据。
- 定期观察比立即治疗更重要:多数"良性异常"只要每6-12个月随访一次即可。
写在最后:放过身体,也放过自己

每年体检过后,总有人因为一个"结节"就陷入焦虑,甚至从此走上过度检查、过度治疗的循环。
但医学的本意,从来不是制造恐慌,而是帮助我们更好地理解身体。
不是所有"异常"都等于有病,不是所有"结节"都要切除。学会理解体检报告的真正含义,是对自己健康的尊重,也是对医疗资源的珍惜。










