• 首页
  • 新闻
今日热点 :
    • 推荐
    • 社会
    • 军事
    • 娱乐
    • 财经
    • 历史
    • 国内
    • 国际
    • 笑话
    • 汽车

    炎性

    搜索与 炎性 相关的新闻
    • 世纪婴儿去世!年仅25岁,她在人们欢呼声中出生,却因为这个离开

      心源性 猝死 炎性 2025/03/26

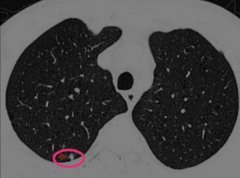
    • 为什么新冠之后,人人都查出肺结节?呼吸科医生道出真相

      新冠 肺部 炎性 2026/02/07

    • 为什么新冠之后,几乎人人都有肺结节?

      新冠 肺部 炎性 2025/09/10

    数据加载中...
    今日热点
    更多
    • 男子花32万娶妻被拒同房,起诉离婚被驳回后,全家开车去女方村里讨说法

    • 杨玉环的生理问题,一般人无法忍受,不过唐玄宗却非常享受

    • 媒体:中国男篮完成的不只是一场逆转,而是三重“祛魅”

    • 慈禧人生最后一天:上午处理光绪的后事,下午删改遗诏穿上了寿衣

    • 吃住都在悬崖上的夫妻,晚上不敢大动作,稍有不慎就坠落!

    • 匈奴女人有一特点,让中原男子避之不及,就算再漂亮也不敢娶回家

    • “男怕磨,女怕泡;鸡怕撵,狗怕舔”啥意思?古人的经验很中肯

    推荐阅读
    更多
    1. 奇葩!女子捡手机私藏4个月,反向失主索要“保管费”
    2. 沪一女子花近万元找猫,被物业发现就在屋内!寻宠团队拒绝退款…网友炸了
    3. 太突然!知名品牌:关闭所有店铺!上海最后一家门店正在清仓…曾遍布各大商场
    4. “反诈老陈”账号被封:直播带货品控混乱,无凭无据指控企业涉“境外势力”,最终“反”了自己
    5. 太疯狂!价值60万元瞬间秒空!上海排队3小时也要抢,网友:一夜赚2万!
    6. “北大毕业当短剧演员,疯了吗?”当事人回应:有心理落差但从不“玻璃心”
    • 刷新
    • 热点
    • 顶部
    焦点资讯 联系我们
    © 中华网    京ICP备18035944号-2