• 首页
  • 新闻
今日热点 :
    • 推荐
    • 社会
    • 军事
    • 娱乐
    • 财经
    • 历史
    • 国内
    • 国际
    • 笑话
    • 汽车

    肖女士

    搜索与 肖女士 相关的新闻
    • 男子租20套房卖给30人骗得2千万,构成诈骗罪

      肖女士 刘某 房屋 2025/07/01

    • 女子在公厕透过隔缝发现摄像机对着她!

      肖女士 警察 变态 2024/09/20

    • 20只鸽子参加阅兵5只没回家 北京小姐姐的鸽子参加阅兵式放飞

      鸽子 肖女士 信鸽 2025/09/05

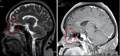
    • 脑子出现缺口?40多岁女子一直流鼻涕

      脑脊液 鼻漏 肖女士 2025/02/10

    • 离谱!二婚女给男友转账83万后,他说忘不了前女友

      肖女士 花先生 女友 2025/07/07

    • 女子全职陪读,长期熬夜辅导孩子功课患斑秃 专家:家长止步,孩子才会进步

      肖女士 孩子 吴兆华 2026/03/26

    • 腿上长出大片红斑,严重的可能演变成癌症!这个“元凶”,很多湖南人家中必

      肖女士 热源 斑纹 2024/01/04

    数据加载中...
    今日热点
    更多
    • A股行情主线正在悄悄换血吗?AI+消费已成主线,下半年投资机会说透了

    • 山东一广场三只狗雕塑被质疑低俗 社区回应:展览结束后可能会搬走

    • 离谱!河南男子70元住酒店,空调竟挂女士内裤,酒店回应更气人

    • 广西自治区领导赶赴皮卡车坠河现场指挥救援处置工作

    • 陕西一男子发现妻子行为异常,经鉴定3个女儿都非亲生,崩溃发声:感觉人生都被毁了!

    • 国防部新闻发言人蒋斌大校批台当局巨额军购是吸血账单

    • 和平不是口号!国防部发言人蒋斌:中国军队忠实履行维和使命

    推荐阅读
    更多
    1. 特朗普称攻击伊朗计划推迟“两三天”,伊朗总统:对话不意味投降,将全力捍卫国家尊严
    2. 6段恋爱终成“天王嫂”,如今被骂上热搜,她到底做错了什么?
    3. 俄罗斯无人机击中中国货船?外交部:相关船只系马绍尔群岛籍
    4. 上海已婚男突然消失,妻子称丈夫死了注销户口结果尴尬!
    5. 所罗门群岛新总理对华表态一出 外媒和台媒集体沉默
    6. 男子因女儿一句话发现妻子出轨 发现3个女儿均非亲生
    • 刷新
    • 热点
    • 顶部
    焦点资讯 速下 中华网软件 联系我们
    © 中华网    京ICP备18035944号-2