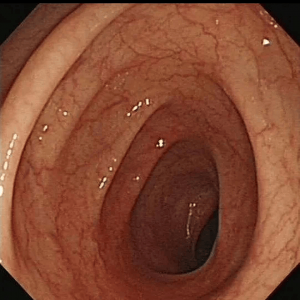
手术台上,医生切开腹腔时倒吸一口冷气--她的一段结肠已经失去弹性,肠壁像被墨水浸泡过一样,呈现骇人的黑色。


(正常肠道vs失去弹性的肠道)
长期服用刺激性泻药,肠壁被药物反复刺激,色素沉积,神经末梢坏死,肠道再也无法自主蠕动。
最终,廖女士被切除了30厘米的肠管。
术后醒来,她看着肚子上的伤口,哭得说不出话。
"如果十年前,我能早点去医院看看就好了……"
手术台上,医生切开腹腔时倒吸一口冷气--她的一段结肠已经失去弹性,肠壁像被墨水浸泡过一样,呈现骇人的黑色。


(正常肠道vs失去弹性的肠道)
长期服用刺激性泻药,肠壁被药物反复刺激,色素沉积,神经末梢坏死,肠道再也无法自主蠕动。
最终,廖女士被切除了30厘米的肠管。
术后醒来,她看着肚子上的伤口,哭得说不出话。
"如果十年前,我能早点去医院看看就好了……"