近日福建一位"镜面人"合并胆总管结石接受微创手术,器官位置完全镜像,却在两小时内顺利取石,这种强烈反差本身就让人心里一紧。

看诊那天,他因为腹痛和皮肤发黄走进福建医科大学吴孟超纪念医院的肝胆外科,挂号单上写着"陈先生(化名)"。
检查结果把大家的注意力一下拉满:右位心、完全性内脏反位,再加上胆总管结石。
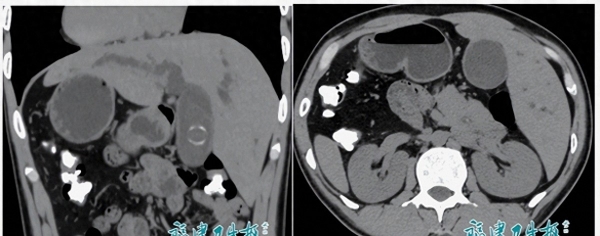
CT片子翻出来,标注的心脏阴影在右边,肝脏在左边,胆管也"对调",影像像照镜子一样,"反"的细节在每一帧都看得清清楚楚。
最先看的当地医院直接摇头:解剖结构全反了,风险太高,我们做不了。
医生不拒绝病,却要对风险负责,这句老话在这样的病例上很现实。
陈先生辗转了几家医院,车票和病历夹越积越厚,心里难免打鼓。
他最后慕名找到肝胆外科的李海涛主任医师团队,见面不久就听到一句沉稳的话:只要有一线希望,就不能让患者绝望。
这不是场面话,而是明确的承诺,门诊室外的走廊有点安静,他的肩膀明显松了一下。
手术当天,腹腔镜的画面是"反"的:本该在左侧的肝脏出现在右侧,本该在右侧的胆管跑到左侧。
医生的手要适应"左右互换"的操作路径,像是同时在镜子里和现实里打配合。
团队采用腹腔镜"探路",胆道镜深入胆管"抓石",两套器械配合像接力,目标就是把石头一颗不留地取干净。
手术视频显示,器械进出要绕开变异血管,李海涛在扩张的胆囊管断端处精准取净结石。
避免了传统开放手术后可能需要"长期带T管"的麻烦。
T管这东西,懂的都懂,日常洗澡和活动都要小心,能免则免。
整个过程用了两小时,出血不到50毫升,麻醉复苏平顺,术后一周他就办理了出院。
病房里,他拎着简单的包,步子轻了不少。
能看得出,他脸色比入院时好多了,黄疸退了,人也有精神。
这次手术的节奏像一本"准教科书",但背后是团队提前做足了功课:影像学评估、手术方案推演、器械站位全部"对称思维"。
我总觉得,医术过硬之外,心态的稳定也很关键,这种稳定会传递给患者。
聊到"镜面人",先摆事实。
完全性内脏反位(situs inversus totalis)是一种先天性变异,多数人器官功能正常,甚至可能一辈子不被发现。
很多人是因为看病或体检才知道。
它本身不代表"体弱",只是解剖结构与多数人不同。
有了胆结石、阑尾炎这类常见病,就会让诊断和手术变得更复杂,因为医生的"路线图"要重画。
发生概率,媒体常说"百万分之一",但主流医学文献更接近万分之一到五万分之一。
这是我查资料后更稳妥的表达,来源包括通行的医学百科与临床综述。
不管怎么说,它确实不多见,但绝不是"几乎不可能遇到"。
近年来,国内不少医院报道过类似患者成功完成肝胆、胰腺、甚至心胸外科手术,技术在进步,流程也越来越可控。
真正的难点在于变异的血管和胆道走向,这决定了器械如何进、在哪儿取石、怎样止血。
这类手术前,医生通常会把影像看到"滚瓜烂熟",甚至在脑子里把路径"左右互换"练一遍。
有人把这比喻成"左手画方右手画圆",我更愿意说是把固定的习惯打碎再重建,既要精细又要稳。
术后不带T管,意味着不用反复冲洗、不用提心吊胆护管,洗澡穿衣都更自在。
这是患者生活质量的直观改善。
在这则新闻里,医生的那句"只要有一线希望"让我记住了,他们在风险和病情之间,选择了理解与担当。
我好奇问自己,假如是我们家人遇到这种情况,会不会也能遇到愿意"多走一步"的团队?
这不是对别人的苛求,而是对医疗系统的信任。
陈先生的心情虽然没被详细记录,但可以合理想象,他从反复求医的焦虑,过渡到术后出院的轻松,过程中每一次解释都很重要。
很多时候,清楚地告诉患者为什么做、怎么做,比安慰几句更有力量。
如果你或家人天生右位心,或者体检显示器官位置"对调",记得在每次就医时主动说明。
这是一条小小的"就医提示",能让医生少走弯路,也减少误诊的可能。
遇到需要手术的情况,别被"罕见"这两个字吓住,关键是找有经验的团队。
手术是不是一定要开大刀、要不要留管、恢复会不会慢。
这些都是可以问清楚的具体问题,问到明白,心就稳了。
对普通人来说,医学里的"版本差异"其实很常见:有人的血管多一支,有人的胆囊偏个角度,大家都能好好生活。
我愿意把这次福建的故事当成一个温柔的提醒:尊重身体的与众不同,同时尊重专业的判断。
当我们既讲清事实,也理解感受。
罕见就不再可怕,未知也能被看见。
最后,不妨把这句话送给每一个担心的家属:好医生不只在手术台上显功夫,更在每一次沟通里让人心安。










