诱因与错误:压垮骆驼的最后一根稻草
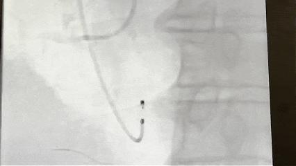
对于已经脆弱的血管,一个诱因就足以引发灾难。秦先生在搬重物时,交感神经兴奋导致血压骤升,斑块破裂形成血栓,堵塞了冠状动脉。发病前饮用的功能性饮料,虽然非直接元凶,但其高糖、牛磺酸等成分给高度应激的心血管系统增加了额外负担。最危险的是,他在胸痛时错误服用了降压药。

医生解释,急性心梗早期血压升高是机体的代偿反应,盲目降压会减少心脏供血,加重休克。

回顾秦先生发病时的做法,范杰特别强调了一个关键错误:"发病时还吃降压药,这简直是雪上加霜!"
这类错误并非个例,许多人像57岁的张先生一样,长期吸烟饮酒、高血压未监测,忽略了胸痛、冷汗等预警信号,直到心梗发作才惊醒。
预防心梗:从今天开始行动
心梗早已不是老年人专属,年轻人也需警惕。预防的核心在于控制危险因素:
- 坚决戒烟:这是最有效、最经济的措施之一,任何时候开始都不晚。
- 规律控制血压:高血压患者必须遵医嘱服药,定期监测,避免擅自停药或减药。
- 识别预警信号:胸痛、头晕、冷汗等症状出现时,应立即就医,切勿自行用药。
- 避免诱因:减少突然用力、熬夜,谨慎饮用功能性饮料。










