
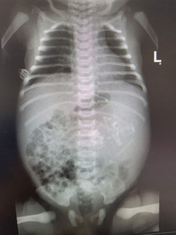
医生们发现一名刚出生的女婴体内有她自己的双胞胎,这让医生感到困惑。这种极其罕见的现象大约每50万新生儿中才会出现一次,7月29日的英国《每日星报》对此进行了报道。

这名女婴于7月27日出生在以色列阿什杜德(Ashdod)的阿苏塔医疗中心(Assuta Medical Center)。医生说,在怀孕后的检查时已经确认女孩的胃增大了。据《以色列时报》报道,在她自然出生后,医生仔细检查了女婴,确认新生儿体内确实有东西。

医疗小组随后迅速进行了进一步的超声波和x光检查。阿苏塔大学的新生儿学主任奥马尔·加尔布斯(Omer Globus)说,他们对于这是个胚胎还是很惊讶的。医疗中心的一组医生进行了手术,最终从女孩的胃中取出了两个类似的囊。他们认为那里不止一个,仍在核实。










