脑供血不足是非常常见的一种大脑疾病,它的引起和脑部动脉出现硬化是有很大关系的,出现了脑供血不足患者会有精力不集中健忘的症状,研究表明脑供血不足如果不及时治疗的话就会引起脑梗死甚至出现痴呆的情况,那么脑供血不足该如何检测呢?很多人对此并不了解下面给大家分享一下,希望大家能够有所了解。

检测脑供血不足的方法有以下4种:
1、可以进行颅内多普勒检查,能够检测血液的流通速度是否增快或者是降低,能够有效的判断大脑的局部血流量和血流的情况,可以进行全身血管性疾病的筛查,尤其对于脑供血不足的检查意义重大。
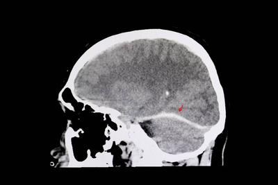
2、进行头颅ct的检查,这种检查速度快,对于脑血管病变诊断是比较明确的,如果出现了脑供血不足,ct内就可以看见颅内的缺血软化灶。
3、还可以进行头颅核磁共振检查,进行核磁共振检查没有放射线的损害,血管的成像更加清晰准确,对于脑血管疾病能做到早发现,并且能够明确病变的范围。
4、也可以进行颈动脉彩超,颈动脉彩超简单易行,对于颈动脉硬化和斑块的患者,能够根据斑块的部位及大小范围了解颈动脉疾病的血管病变以及病理变化,能够有效的判断是否出现脑供血不足的情况。
脑供血不足的患者一定要及时治疗,在日常生活当中一定要做好护理,老年人一定要养成好的生活习惯,饮食要有时间有规律,一定要保持积极乐观的情绪,保持积极向上的精神状态,好的心情有利于神经系统的修复,还要养成体育锻炼的习惯,因为体育运动能够促进脑细胞的新陈代谢,延缓大脑的老化。










