
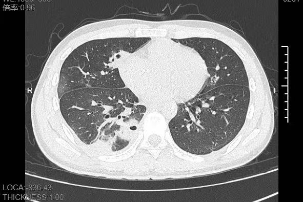
进一步的细菌培养和基因检测揭开了真相,小林的血液里检出了金黄色葡萄球菌,这种细菌,就藏在每个人的皮肤表面。
"罪魁祸首就是那颗被挤掉的痘痘。"丁群力解释,"这颗痘痘长在脸部'危险三角区',挤痘痘时的压力把细菌推进了血管,引发了败血症,接着细菌顺着血流跑到肺部,侵蚀肺组织。"
万幸小林年轻,身体素质底子好,对药物也较为敏感,经过12天的抗生素治疗,最终顺利康复出院。
一颗痘痘能"杀"到肺部?
很多人挤痘前都不知道,脸部藏着一块"危险三角区",具体是指从鼻根到两侧口角形成的三角形范围。"我们身体里的血管大多有静脉瓣,就像单向阀门一样,能防止血液逆流,避免细菌跟着血液乱跑。但'危险三角区'的血管偏偏没有这个阀门,是完全直通式的。"丁群力介绍。










