20岁小伙发烧2天以为是小感冒,想硬扛却被送重症监护室,医生:肺部大面积"变白"
近日,20岁小伙患上流感,以为是小感冒,硬扛2天,却被送重症监护室。经CT检查,因肺部感染多种病毒,肺大面积"变白"了。
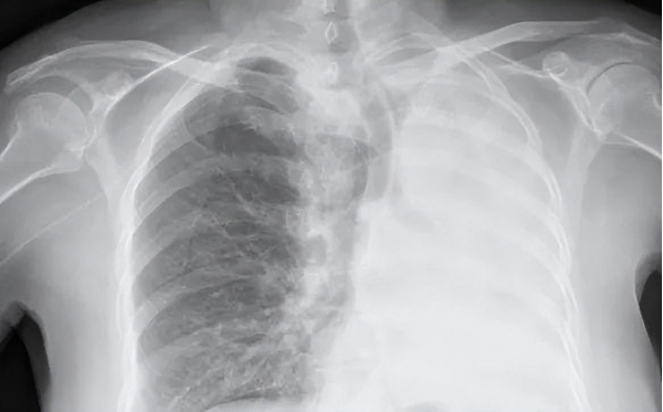
什么是白肺?
"白肺"是一个口语化描述,用于描述重症肺炎患者在X光或CT检查下的表现,即患者的肺部显影呈大片白色区域。重症肺炎患者肺部存在大量炎性渗出物,导致肺部在影像学上显示白色区域。一般而言,当白色影像区域面积达到70%到80%时,才会被称为"白肺"。重症肺炎患者可能会出现缺氧、胸闷气短、呼吸不畅、乏力等症状。
哪些疾病会引起白肺
1. 感染性疾病:
肺炎:细菌、病毒或真菌感染引起的肺部炎症。
肺结核:由结核杆菌引起的严重呼吸系统感染。
2. 非感染性炎症性疾病:
银屑病肺病:银屑病患者肺部受累的罕见情况。
血管炎:血管炎可影响肺部,导致局部出现高密度阴影。
3. 间质性肺疾病:
肺纤维化:长期的肺损伤和瘢痕组织形成。
矽肺病:常见于长期吸入含硅尘埃的工人。
4. 心源性疾病:
心力衰竭:心脏功能不全导致的肺水肿。
5. 肿瘤性疾病:
肺癌:肿瘤组织在影像上表现为局部密度增高。
淋巴瘤:淋巴系统的癌症,可能会影响到肺部。
转移性肿瘤:其他部位的癌症转移到肺部。
6. 肺血管疾病:
肺栓塞:血栓堵塞肺动脉或其分支,可能导致部分肺组织无法正常通气而表现为高密度。
肺动脉高压:肺血管压力升高,影像学上可能表现为肺野模糊。
7. 其他情况:
吸入性损伤:如烟雾或有害化学物质吸入所导致的肺损伤。
肺泡蛋白沉积症:罕见疾病,肺泡内充满蛋白质物质,影像学上显现为"白肺"。
"白肺"的确切原因需要依据患者的具体病症、体征以及其他临床信息进行判断。通常需要通过详细的医疗病史获取、体格检查以及实验室测试等方式,结合具体的影像学资料,由专业医生给出准确的诊断。

白肺还会伴随着哪些症状
伴随"白肺"的症状因其原发病因而异,但以下是一些常见的相关症状:
1. 呼吸困难:包括深呼吸时感觉不适、喘息或短气。
2. 咳嗽:可能是干咳,也可能伴有痰液,有时痰中带血。
3. 发烧和寒战:体温升高,可能伴有反复的寒战感。
4. 胸痛:深呼吸时胸痛,尤其是肺炎时常见。
5. 乏力:普遍感觉疲惫无力。
6. 脉搏加速:由于缺氧,心率可能会增快。
7. 头痛:同时可能有全身不适和头痛。
8. 嗜睡或精神状态改变:在严重的情况下,低氧血症可能导致意识模糊或嗜睡。
"白肺"并非一个专业医学术语,而是一个非正式的描述,在医学影像上更准确的表达可能是"弥漫性阴影"或"肺实变"。此外,影像结果只是临床判断和治疗的一部分,医生还会根据病史、体格检查结果和实验室测试来做出诊断。

流感为什么会引起白肺
流感是一种由流感病毒引起的呼吸道感染,它可以导致多种并发症,包括肺部问题。流感可能通过以下途径引起"白肺":
1. 原发性病毒性肺炎:流感病毒直接侵犯肺泡和气道,引起充血、水肿及炎症反应,这些改变可能在影像学检查中表现为肺实质的密度增加。
2. 继发性细菌性肺炎:流感会损伤上呼吸道的防护屏障,使患者更容易受到细菌的侵袭,从而发展为继发性细菌性肺炎。这类肺炎通常也会在X光片上显示为密度增高的区域。
3. 急性呼吸窘迫综合征 (ARDS):在严重的流感感染中,炎症反应可以变得非常剧烈,导致肺部损伤并引起ARDS,肺部广泛的炎症和液体渗漏进入肺泡,导致在影像上出现大片"白化"区域。
4. 肺水肿:由于流感引发的重症或合并心脏问题,可能导致肺泡毛细血管壁通透性增加,液体积聚于肺泡内,同样会在胸片上表现为肺部密度增加。
5. 免疫反应:强烈的免疫系统反应对流感病毒的攻击可能对肺组织造成"友火攻心"的伤害,称为细胞因子风暴,这可能导致肺部充血和水肿,在影像上显示为较白的区域。
确诊流感所导致的"白肺"通常需要依据临床症状、实验室病毒检测以及其他辅助检查,比如听诊、动脉血气分析以及影像学检查等资料。










